Pulizia dei Denti senza Dolore in Anestesia Totale
La pulizia dei denti è una prestazione odontoiatrica, che viene chiamata in vari modi:
- igiene dentale professionale
- ablazione del tartaro
- detartrasi
Tale prestazione consiste nella rimozione del biofilm, della placca batterica e del tartaro (placca batterica mineralizzata) dalla superficie dura dei denti.
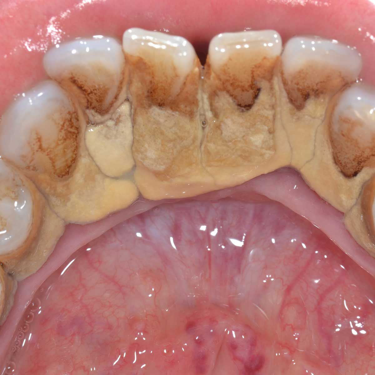
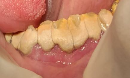
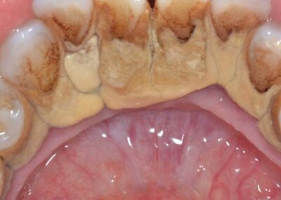
Un accumulo abbondante di tartaro può provocare:
- carie dentale
- infiammazione gengivale con arrossamento, dolore, gonfiore e sanguinamento gengivale
- parodontite
- mobilità e perdita dei denti
- distruzione dei denti
- alitosi
- inestetismo dentale per i depositi gialli, marroni e neri sui denti
Il tartaro prodotto in eccesso può essere dovuto a:
- insufficiente igiene orale domiciliare
- tipologia di alimentazione
- tipologia della saliva
- fumo (sigaretta, sigaro e pipa)
Come viene eseguita l’igiene dentale in anestesia totale?
La prestazione odontoiatrica di igiene dentale professionale può essere eseguita normalmente, a seconda dei casi, con una cadenza trimestrale, semestrale o annuale.
Tale prestazione viene eseguita tipicamente alla poltrona del Dentista senza anestesia locale in quanto è una terapia indolore.
La tecnica può prevedere l’uso di strumenti differenti:
- ultrasuoni
- subsuoni
- strumenti manuali (scalers)
Gli ultrasuoni e i subsuoni vengono utilizzati con un’abbondante irrigazione d’acqua per non surriscaldare l’inserto (punta del trapano) a contatto con il dente.
Successivamente si usano anche:
- polveri
- paste lucidanti
Alcuni pazienti soffrono di ipersensibilità dentinale e hanno comunque una sensibilità più bassa al dolore. In questi casi a volte è necessario fare un’anestesia locale con:
- anestetico locale in spray (lidocaina)
- anestetico locale in gel non iniettabile (lidocaina e prilocaina)
- anestetico locale per infiltrazione con siringa e ago (mepivacaina e articaina)
Un problema ulteriore si può avere con i pazienti totalmente non collaboranti (disabili, ecc.) e con grave paura del Dentista (odontofobici), che hanno bisogno di cure dentali in sedazione endovenosa profonda o anestesia generale in ambiente protetto.
Tali pazienti hanno spesso un ”muraglione di tartaro”, che ricopre più denti, perché i caregiver non riescono a eseguire un’adeguata igiene dentale domiciliare oppure perché i pazienti hanno i denti mobili e non spazzolano più i denti per paura di perderli.
In questo caso per rimuovere tali depositi di tartaro molto duri e tenaci bisogna insistere con forza con gli ultrasuoni e l’irrigazione con l’acqua cercando di sgretolare tali concrezioni.
Quali problemi operativi si possono avere con la sedazione endovenosa profonda o l’anestesia generale?
Tali tecniche anestesiologiche presentano i seguenti vantaggi:
- perdita totale della coscienza
- assenza totale del dolore
- assenza totale di movimento
- assenza totale di ricordi
La specificità del Dentista è che opera in bocca e quindi bisogna evitare attraverso la gola (orofaringe) di fare ingerire o inalare solidi o liquidi rispettivamente nelle vie digestive (ipofaringe e esofago) verso lo stomaco o nelle vie aeree (laringe e trachea) verso i polmoni.
I pazienti in anestesia totale hanno aboliti i riflessi protettivi delle vie aeree.
Paziente con abbondante tartaro in anestesia generale con intubazione dalla bocca e doppio aspiratore chirurgico
Come prevenire quindi un’accidentale ingestione o inalazione di solidi e liquidi?
Prima di tutto la sala operatoria deve essere equipaggiata assolutamente con aspiratori chirurgici a alta velocità (AVA).
Secondariamente, se si opera in sedazione endovenosa profonda in respiro spontaneo bisogna applicare un tampone di garza stretta e lunga (dal nome “lunghetta”) a livello della gola nella parte posteriore della bocca:
- il paziente respira aria e ossigeno dal naso con l’aiuto di occhialini per ossigenoterapia e viene ridotta la possibilità di ingerire e inalare l’acqua a esempio durante la pulizia dei denti con gli ultrasuoni;
- il capo del paziente va rivolto verso un lato (a destra o sinistra) per raccogliere più efficacemente l’acqua;
- il secondo operatore deve aspirare l’acqua con 2 aspiratori con una cannula e un’aspirasaliva con cappuccio fisso;
- il primo operatore deve fermarsi con l’azione dell’ablatore ogni tanto per non far accumulare troppa acqua in bocca.
Se l’acqua viene accidentalmente inalata anche in piccole quantità il paziente inizia a tossire, la frequenza cardiaca sale e la saturazione dell’ossigeno si abbassa (depressione respiratoria). In questo caso bisogna costantemente fermarsi, aspirare in profondità in gola e ripartire con l’azione dell’ablatore con irrigazione d’acqua.
Questa situazione implica una grande esperienza da parte del primo e secondo operatore che devono essere super-specializzati!
Se si opera in anestesia generale questo problema non esiste. Nel paziente viene applicato un tubicino flessibile nel naso o un tubicino un po’ più rigido nella bocca, che scende nelle vie aeree e che alla sua estremità é avvolto da un palloncino (una sorta di ciambella). Il palloncino all’inizio è sgonfio, ma una volta che il tubicino è posizionato in sede viene gonfiato (“cuffiato”). In questo modo viene impedita l’accidentale inalazione di liquidi provenienti dalla bocca oppure dallo stomaco in caso di vomito (evitando una polmonite ab ingestis). Si crea una sorta di “piscina”… in cui i liquidi vengono comunque continuamente aspirati all’esterno senza andare nei polmoni.
Quali considerazioni?
Nei pazienti in cui deve essere eseguita un’ablazione del tartaro in sala operatoria e nei quali è presente una grande quantità di tartaro sarebbe preferibile la tecnica dell’anestesia generale in ambiente protetto e sicuro con una procedura più sicura ed efficace nei casi in cui debba eliminare una “muraglia di tartaro”.
Alcune considerazioni sono importanti:
- ci deve essere una chiara indicazione per un intervento di odontoiatria chirurgica in anestesia generale, cioè la scelta terapeutica deve essere appropriata;
- la terapia deve essere eseguita in un ambiente protetto e sicuro da un Équipe dentale di alta specializzazione;
- la gestione del paziente è più complessa rispetto a quella nello studio dentistico e i costi per il paziente sono maggiori in quanto ci sono in più i costi della struttura sanitaria (sala operatoria, eventuale ricovero programmato, ecc.) e dell’Anestesista;
- va valutato nel tempo un richiamo periodico di igiene dentale professionale considerando sia le condizioni cliniche del paziente che la complessità gestionale dell’intervento di odontoiatria chirurgica.
Ho bisogno di Cure Dentali in Anestesia Generale
Lasciando i miei dati chiedo di essere ricontattato per avere maggiori informazioni…
Strutture Sanitarie Complesse per le Cure Dentali con Anestesia Totale nel Lazio
Headquarter – Roma
Ambulatorio Odontoiatrico Gallottini & Partners – Roma
- Piazzale Filippo il Macedone, 89 – 00124 Roma
- Quartiere Casal Palocco
- Tel. 06.50.91.79.10
- Cellulare Urgenze 3298920084 – Cellulare Info 3284009166
- Email: pazienti@liviogallottini.com
- www.liviogallottini.com – www.gallottinipartners.com
- Visita Specialistica – Odontoiatria ambulatoriale
Case di Cura – Roma
Villa Salaria Hospital – Roma
- Via Filippo Antonio Gualterio, 127 – 00139 Roma
- Quartiere Nuovo Salario
- https://villasalaria.com/centri-di-eccellenza/centro-odontoiatrico-per-pazienti-non-collaboranti/
- Visita Specialistica – Odontoiatria Chirurgica in sala operatoria
- Day Surgery – Ricovero Ordinario
- 6 sale operatorie – 40 posti letto – 3 postazioni a alto monitoraggio
- Disponibilità 7 giorni su 7, 24 ore su 24
Casa di Cura Nostra Signora della Mercede
- Via Tagliamento, 25 - 00198 Roma
- Quartiere Parioli
- https://casadicuramercede.it/
- Visita Specialistica – Odontoiatria
- Chirurgica in sala operatoria
- Day Surgery – Ricovero Ordinario
- 4 sale operatorie – 30 posti letto – 4 letti di terapia intensiva
- Disponibilità 7 giorni su 7, 24 ore su 24
Centri di Chirurgia Ambulatoriale – Roma
Marilab Surgery – Roma
- Viale Alfredo Zambrini, 4 – 00121 Roma
- Quartiere Ostia
- https://marilab.it/attivita/chirurgia-generale/odontoiatria-chirurgica/
- Visita Specialistica – Odontoiatria Chirurgica in sala operatoria
- Osservazione postoperatoria di 2 ore
Medicalia Surgery – Roma
- Via Sofia, 34 – 00144 Roma
- Quartiere EUR
- https://medicalia.it/medicalia-dental-care
- Visita Specialistica – Odontoiatria Chirurgica in sala operatoria
- Osservazione postoperatoria di 2 ore
Le Strutture Sanitarie Complesse per le Cure Dentali con Anestesia Totale in Lombardia e Piemonte
Case di Cura – Milano
Casa di Cura La Madonnina (Gruppo San Donato)
- Via Quadronno, 29 – 20122 Milano
- Nei pressi di Largo della Crocetta
- Metro M3 – Linea Gialla – fermata Crocetta
- www.lamadonnina.grupposandonato.it
- Visita Specialistica
Istituto Stomatologico Italiano (ISI)
- Via Pace, 21 - 20122 Milano
- M3 - Linea Gialla - fermata Crocetta
- www.isimilano.eu
- Odontoiatria Chirurgica in sala operatoria
- Day Surgery - Ricovero Ordinario
Centri di Chirurgia Ambulatoriale – Milano
Narcodont
- Piazza Sant’Ambrogio, 16 – 20123 Milano
- Metro M2 – Linea Verde – fermata S. Ambrogio
- www.narcodont.it
- Visita Specialistica – Odontoiatria Chirurgica in sala operatoria
- Day Surgery – Ricovero Ordinario
Case di Cura – Torino
Clinica Fornaca di Sessant (Gruppo Humanitas)
- Corso Vittorio Emanuele II, 91 – 10128 Torino
- Torino Centro – 500 mt. dalla Stazione Centrale
- www.clinicafornaca.it
- Visita Specialistica – Odontoiatria Chirurgica in sala operatoria
- Day Surgery – Ricovero Ordinario
